+373 69 103 574     info@ortodont.md

врач-ортодонт

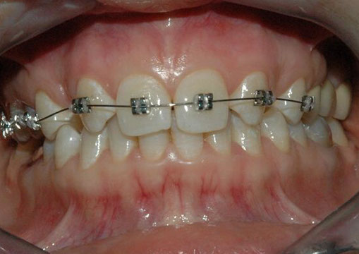
Технологии

Более 10 брекет- систем на выбор

01

Equlibrium-MINI

Equlibrium-MINI – шедевр от старейшего немецкого производителя качественной ортодонтической продукции, компании Dentaurum. Одни из самых популярных брекетов среди молодежи Европы и мира.

Уже более 10-ти лет обладают минимальным VSI-factor (фактор визуального воздействия) – 0.78 и являются самыми маленькими в мире брекетами. Это универсальная брекет-система, которая подходит практически для всех случаев.

02

Discovery SMART

Discovery SMART – металлические MINI брекеты премиум-сегмента от компании DENTAURUM. Помимо малых размеров и округлого комфортного дизайна, являются полностью цельнолитыми брекетами, без вредных припоев, выполнены по MIM-технологии. Отлично подходят пациентам с крупными зубами или в случаях с удалением зубов.

03

GLAM

GLAM  — керамические сапфировые брекеты от премиального немецкого производителя ортодонтической продукции, компании FORESTADENT. Выполнены из медицинской керамики, полностью неаллергенны, в отличие от классических керамических брекетов обладают свойством прозрачности. Подходят в большинстве случаев.

04

BioQuick

BioQuick – 4-е поколение самолигирующихся брекетов от компании FORESTADENT. Это высококачественные брекеты из медицинской стали с уменьшенным дизайном.

Отличительной особенностью является наличие дополнительного второго слота, что позволяет параллельно решать несколько сложных задач.

Это значительно может уменьшить время лечения во многих сложных случаях. Хорошо подходят для пограничных случаев «без удаления», идеальны для сложных случаев «ретенции клыков».

05

Empower 2

Empower 2  — от American Orthodontics, одни из самых популярных брекетов в США для всех случаев.

Это интерактивная самолигирующаяся брекет-система последнего поколения, позволяет решать широкий спектр ортодонтических задач.

Хорошо подходит для пограничных случаев «без удаления», удобны для пациентов, которые не могут часто посещать врача или живут в другой стране – активации проводятся в среднем 1 раз в 2-3 месяца.

06

Empower® Clear Brackets

Empower® Clear Brackets — одни из самых «эстетичных» самолигирующихся брекетов от компании American Orthodontics. Тело брекета выполнено из высококачественной медицинской керамики, а клипса (замок) из родиевого сплава матового цвета.

Обладают всеми преимуществами самолигирования и очень высокими эстетическими показателями.

07

Incognito

Incognito –  индивидуализированная лингвальная брекет система из золотого сплава. Систему Incognito разрабатывала команда врачей, ученых, физиков, инженеров из разных стран и является самой технологически совершенной брекет-системой в мире.

Incognito производятся индивидуально для каждого пациента из золотого сплава, что делает их гипоаллергенными и практически безопасными для зубов, а сверхтонкий дизайн брекета обеспечивает максимальный комфорт и быстрое привыкание к аппарату.

 

incognito.md

08

Win

Брекеты Win — зновидность лингвальных индивидуальных брекет-систем из кобальто-хромового сплава.

Так же, как и брекет-системы Incognito, абсолютно незаметны окружающим, максимально индивидуализированы и обеспечивают предсказуемый результат, который пациент может увидеть ещё до начала лечения.

© Игорь Казаку, 2017

+373 69 103 574    info@ortodont.md